
Nova doza samopouzdanja-u samo par koraka!
Vaš osmijeh, naš posao! Cirkonske krunice za prirodan izgled dugotrajan rezultat!

Transformacija osmijeha počinje sa savršenim zubnim krunicama!
Ne samo da poboljšavaju estetiku, već pružaju i funkcionalnost, vraćajući samopouzdanje i prirodan izgled! Zaboravite na nesigurnost i doživite osmijeh iz snova!

Ponekad samo dvije krunice mogu napraviti veliku razliku u osmijehu! Pacijentu smo na dvije gornje jedinice postavili cirkonij oksidne krunice.

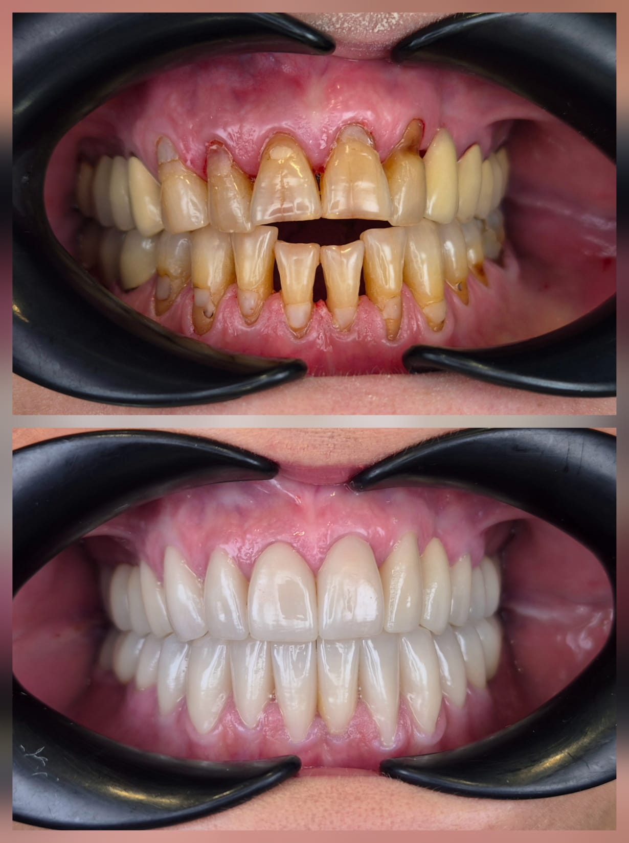
Glavni problem kod pacijentice je bio bruksizam (škripanje zubima) zbog čega su svi zubi bili potrošeni, na nekim mjestima sve do dentina. Kako bi u potpunosti vratili estetiku i zaštitili zube pacijentici smo izradili cirkonij oksidne krunice u gornjoj i donjoj čeljusti.

Klinasti defekti su puknuća cakline na zubnom vratu, pacijentima stvaraju esetski problem, ali često izazivaju i bol na hladne podražaje. Problem smo riješili izradivši kompozitne ispune na oštećenim zubima.

Dijasteme su prostori između zubi. Mogu se pojaviti u prednjem području i u stražnjem. Kad se nalaze u prednjem često predstavljaju estetski problem.
U ovom slučaju izrada cirkonij oksidnih krunica na prednjim zubima riješila je problem dijastema, ali i diskoloracija na zubima čime smo postigli prirodan izgled te pacijentu uljepšali osmijeh!

Pacijentu smo izradili E-max keramičke ljuskice na prednjim zubima kako bi ispravili oblik i dužinu zubi čime smo dobili prirodan osmijeh!

Pacijentu smo cirkonij oksidnim mostom nadomjestili gornju lijevu peticu te zamijenili stare krunice na prednjim jedinicama.

Gospođa je željela uljepšati osmijeh te zaštiti prirodne zube koji su bili istrošeni te puni starih ispuna koje je trebalo zamijeniti. Prema želji pacijenta stare metal keramičke mostove na stražnjim zubima nismo mijenjali već smo na njene prednje zube postavili cirkonij oksidne krunice.

Pacijentici smo izradili kombinaciju E-max keramičkih ljuskica i krunica u fronti te cirkonij oksidnih mostova u bočnom segmentu zubnog luka. Time smo pacijentici nadomjestili zube i stabilizirali zagriz te ispravili oblik i veličinu postojećih zubi čime smo postigli poboljšan ali i prirodan osmijeh!

Pacijentici smo zube nadomjestili cirkonij oksid mostovima koje smo uklopili sa postojećim zubima u široki osmijeh koji svaki pacijent zaslužuje!

Pacijentu smo napravili kompletnu transformaciju gornje čeljusti cirkonij oksidnim krunicama te vratili osmijeh na lice.

Duboki zagriz problem je kod puno naših pacijenata koji se uz ostale faktore može dogoditi i zbog gubitka bočnih zubi. Pacijentica je htjela uljepšati prednje zube a da bi to postigli učinili smo podizanje zagriza u bočnom segmentu cirkonij oksidnim mostovima te si tako stvorili prostor u prednjem segmentu gdje smo cirkonij oksidnim krunicama vratili stari sjaj potrošenim zubima!

Pacijentica je htjela zamijeniti stari metalkeramički most u fronti te riješiti estetski problem ostatka gornje čeljusti. U ovom slučaju izradili smo cirkonij oksidne krunice koje su raširile zubni luk te pacijentici vratile široki osmijeh.
Kontaktirajte nas s povjerenjem
Rezervirajte svoj termin za konzultacije ili zahvat


